Profesión 23/03 | COLUMNA DEL DR. RUBÉN HUGO SOMOZA Especialización en medicina de pequeños animales: De elección académica a decisión estratégica
Protagonistas Ayer | Cuando la vocación no se jubila Rubén Buttafuoco se recibió de Médico Veterinario a los 82 años en la UNRC
Profesión 21/03 | Sanidad animal | Producción bovina La UNNE fortalece el control de la garrapata del bovino con un servicio integral
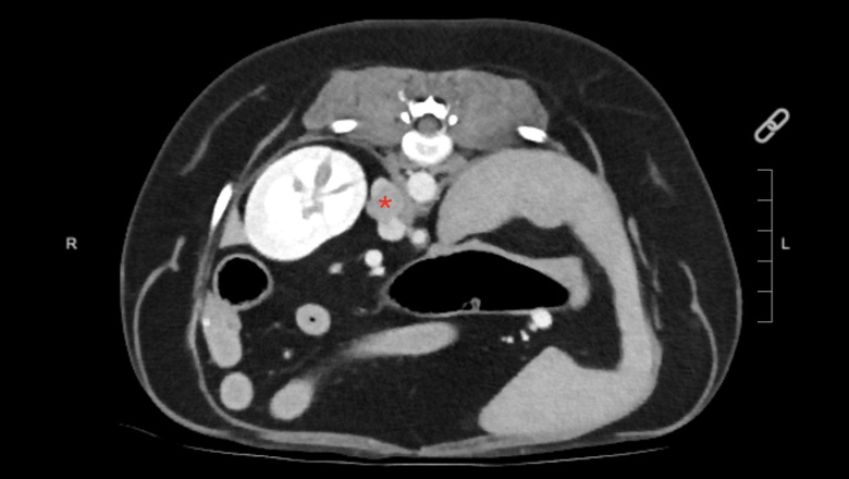
Divulgación 20/03 | Salud animal y pública La prevención de parásitos en perros y gatos debe ser permanente
Divulgación 20/03 | Alerta sanitaria en el NEA Refuerzan controles por rabia paresiante en bovinos en Corrientes
Divulgación 19/03 | Zoonosis Morón | Provincia de Buenos Aires Confirman rabia en un murciélago en Castelar
Profesión 19/03 | Congreso Internacional de Consumo | GCBA Los animales de compañía, eje emergente en las relaciones de consumo
17/03 | FeVA y FECOVET | Documento conjunto Fiebre aftosa en la Argentina: Una mirada hacia el futuro
17/03 | Innovación tecnológica en reproducción bovina Logran detectar preñez bovina a los 19 días de la inseminación artificial
17/03 | Enfermedades zoonóticas Hidatidosis: investigan el rol de los perros en el ciclo del parásito
16/03 | COLUMNA DEL DR. RUBÉN HUGO SOMOZA Veterinaria, límites y salud profesional: el costo real de sostener la profesión en Argentina
16/03 | ACTUALIDAD PROFESIONAL El rol del veterinario en la agenda pos-Expoagro 2026: Sanidad, trazabilidad y biotecnología
16/03 | Alerta sanitaria regional Fiebre amarilla: la OPS advierte sobre transmisión sostenida en Sudamérica
15/03 | Una Salud y desafíos globales La WVA pide reforzar el pilar ambiental y el rol de los veterinarios
14/03 | Seguridad anestésica en veterinaria Muerte perianestésica en pequeños animales: qué dice la evidencia y cómo prevenirla
13/03 | Sanidad animal Fiebre aftosa: productores podrán elegir veterinarios privados para vacunar desde 2027
13/03 | FORMACIÓN ACADÉMICA La Facultad de Ciencias Veterinarias de la UNNE presentó su nueva Guía del Estudiante
12/03 | Investigación sobre conducta del cliente ¿Qué tan bien identifican los tutores una enfermedad en su perro?
12/03 | Sanidad animal y vigilancia epidemiológica Más de 700 terneros centinela refuerzan el monitoreo contra la fiebre aftosa en Argentina
10/03 | Salud pública global La WVA pide a los gobiernos integrar a los veterinarios en políticas de salud pública
09/03 | Un hito para la ciencia veterinaria argentina Cristina Gobello alcanzó la máxima categoría del CONICET
09/03 | COLUMNA DEL DR. RUBÉN HUGO SOMOZA Veterinaria sin consultorio: cuando el modelo cambia más que el servicio
09/03 | Industria veterinaria OVER celebra 45 años con inversiones, expansión internacional y foco en innovación
08/03 | 8 de marzo | Día Internacional de la Mujer Mujer veterinaria: la calidad humana detrás de la consulta
06/03 | Inversión en diagnóstico y tecnología La FCV-UBA incorpora nuevos equipos clave para su Laboratorio de Análisis Clínicos
06/03 | Del Ex Zoológico de Luján a Europa Los osos Gordo y Florencia y la tigresa Flora ya están en santuarios
03/03 | SALUD PÚBLICA Y VIGILANCIA EPIDEMIOLÓGICA Alerta en Chaco: confirman un caso de rabia canina en Machagai
03/03 | VET MARKET N° 163 Mar/abr 2026 Del duelo en veterinaria al avance de las prepagas y el moquillo canino
03/03 | CONSERVACIÓN AMBIENTAL Día Mundial de la Vida Silvestre: un llamado urgente a proteger la biodiversidad