Tag: Fauna Vets
PÉRDIDA DE FAUNA Y CENTROS DE RESCATE
La Academia Nacional de Ciencias de Buenos Aires publicó un documento sobre Fauna Silvestre
31/07 | La publicación reúne las conferencias del "Taller sobre Pérdida de Fauna y el Rol de los Centros de Rescate", organizado en noviembre de 2022 por el Comité Académico para Estudios Especiales de la Academia Nacional de Ciencias de Buenos Aires, con la participación de destacados especialistas, entre ellos el médico veterinario Fernando Pedrosa.
Aves
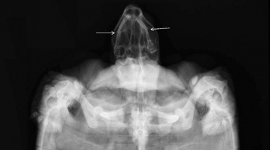
Psitacosis: Una enfermedad prevenible que está relacionada con el tráfico ilegal de loros
01/03 | Fernando Pedrosa, médico veterinario y especialista en animales no tradicionales, explica el proceso de la enfermedad y brinda recomendaciones sobre cómo proceder cuando un ave llega a la consulta veterinaria.
VET MARKET N° 145 MARZO/ABRIL 2023
Influenza Aviar y Divulgación Profesional Veterinaria
01/02 | En esta edición: Puede la gripe aviar convertirse en pandemia?; Lisandro Reynés, explica qué es el Work Up en Dermatologia; Silvana Formoso, describe los aportes de la Ecografía en la toma de decisiones en la clínica diaria; Fernando Pedrosa advierte sobre la Psitacosis y Elber Soler Arias y Santiago Teyssandier, explican que ser Endocrinólogo es una pasión que va más allá de la ciencia. Además concientización sobre razas braquicéfalas.
Fauna Silvestre
La Academia Nacional de Ciencias de Buenos Aires realizó el taller “Pérdida de Fauna y Rol de los Centros de Rescate”
12/11 | Disertaron importantes referentes de protección de fauna silvestre, entre ellos, el Dr. Fernando Pedrosa. Además de las conferencias, se elaboró un documento sobre los Centros de Rescate y Rehabilitación de Fauna Silvestre y su rol en la vigilancia epidemiológica.
Caso Clínico
Terapia complementaria en ejemplar de Chelonoidis chilensis para la recuperación post fractura de mandíbula
03/01 | Se describe el caso clínico de una tortuga macho que concurrió a consulta de urgencia luego de haber sido mordida por un canino. El paciente se presenta con herida perforante en la cabeza que le provocó abundante sangrado y fractura de mandíbula. La recuperación del paciente se complementó con fisioterapia.
Zoonosis
Psitacosis en tiempos de COVID-19. Una llamada de atención
09/03 | El número de animales positivos notificados en lo que va del 2021 casi se ha duplicado en comparación a los notificados durante todo el año anterior.
Animales No Convencionales
Urgencias en tortugas de tierra: la hora dorada en el paciente quelonio
22/07 | Artículo destacado de la edición Nº 129 de la revista Vet Market. Los autores son los Dres. Camila Lascano y Vedia, Nicolás Cohen y Fernando Pedrosa, integrantes de Fauna Vets.
Fauna Vets
Primer Centro Veterinario Especializado en Animales No Convencionales 24 horas
03/03 | En el Centro Veterinario "Fauna Vets" se realiza desde hace más de una década atención clínica con internación especializada en animales no convencionales las 24 horas, los 365 días del año. Entrevistamos a uno de sus directores y fundadores, el Dr. Fernando Pedrosa.
