Tag: Investigacion veterinaria
Para ensayo clínico de la FCV-UNLP
Convocan a perros y gatos con diagnóstico queratosis actínica y carcinoma de células escamosas cutáneo
06/08 | La convocatoria de los investigadores de la Facultad de Ciencias Veterinarias de la Universidad Nacional de La Plata está destinada a pacientes caninos y felinos para participar de un ensayo clínico cuyos objetivos son evaluar aspectos diagnósticos, pronósticos y nuevas alternativas de tratamiento en estas enfermedades.
Día de la Ciencia y la Tecnología
La importancia de la investigación veterinaria bajo el enfoque de "Una Salud"
10/04 | La investigación veterinaria es clave en el desarrollo de nuevos hallazgos orientados a mejorar la salud animal, la salud humana y la salud ambiental.
Investigación
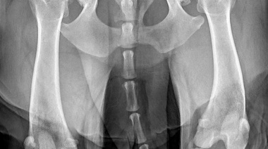
Desarrollan una nueva técnica para el estudio de las articulaciones
26/11 | Investigadores han creado una nueva técnica que permite determinar con mayor precisión el comportamiento de las articulaciones en afecciones como la osteoartritis.
Investigación
Estudian con Inteligencia Artificial los cambios neuromorfológicos de la malformación de Chiari
12/11 | Una nueva técnica de Inteligencia Artificial podría ayudar a diagnosticar perros con dolor crónico e identificar los cambios faciales asociados con la malformación de Chiari.
Investigación
Hallan un nuevo mecanismo de transferencia genética de las superbacterias
27/07 | El hallazgo pone de manifiesto la inteligencia evolutiva del material genético presente en las bacterias, lo cual es clave dado el actual contexto de crisis sanitaria producida por el aumento de las resistencias a los antimicrobianos.
Investigación
El peso promedio de los gatos alcanza su punto máximo entre los 6 y 10 años
20/07 | Un equipo de investigadores evaluó el peso corporal medio a lo largo de la vida útil de los gatos domésticos estratificados por raza y sexo, considerando el estado reproductivo. Para el estudio analizaron más de 19 millones de gatos.
Investigación
Confirman que los conejos de orejas caídas son más propensos a tener problemas dentales y de oído
24/06 | Aunque durante mucho tiempo se ha asumido que las orejas caídas y la forma del cráneo relacionada causan los problemas frecuentes en las orejas y los dientes, nunca se había realizado un estudio científico para confirmar o refutar esto hasta ahora.
