Tag: Osteoartritis canina
Evalúan en perros la eficacia del CBD liposomal administrado por vía subcutánea
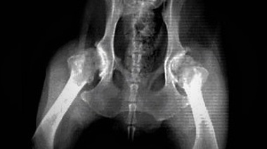
23/08 | Investigadores evaluaron la eficacia terapéutica y farmacocinética de la inyección liposomal cannabidiol como terapia analgésica adicional en perros que padecen osteoartritis natural. Las pruebas se llevaron a cabo administrando una única aplicación.
Salud Animal
Osteoartritis canina: Nuevas pautas de consenso internacional
05/08 | Estas guías internacionales para el tratamiento de la osteoartritis canina pretenden proporcionar una referencia práctica basadas en la evidencia y la opinión de expertos, dejando la toma de decisiones y el desarrollo de protocolos apropiados a la situación específica de cada perro, en manos del profesional veterinario.
Revisión Científica
Análisis científico sobre los tratamientos para la osteoartritis canina
17/07 | Una revisión científica recoge los últimos fármacos disponibles para tratar la osteoartritis canina, incluidos los medicamentos antiinflamatorios no esteroideos, los piprantes, los anticuerpos monoclonales, los analgésicos adyuvantes, los medicamentos para la osteoartritis que modifican la estructura y las terapias regenerativas.
